题目列表(包括答案和解析)

 0  175706  175714  175720  175724  175730  175732  175736  175742  175744  175750  175756  175760  175762  175766  175772  175774  175780  175784  175786  175790  175792  175796  175798  175800  175801  175802  175804  175805  175806  175808  175810  175814  175816  175820  175822  175826  175832  175834  175840  175844  175846  175850  175856  175862  175864  175870  175874  175876  175882  175886  175892  175900  447348 

1、免疫器官和免疫细胞构成人体免疫的第三道防线,其中免疫细胞主要是(    )

A、淋巴细胞       B、吞噬细胞   C、红细胞  D、腺细胞

试题详情

9.(11分)如图是人体心脏结构示意图,请据图回答下列问题 

(1)心脏壁主要是由_______组织构成,心脏能够推动_______在血管里循环流动。

(2)在心脏的四个腔中,A是_________,B是___________

C是__________,D是___________其中心脏壁最厚的是

__________(填字母)。

(3)在心脏结构的A与B之间、C与D之间有防止血液倒流

的结构是      ;在心室与动脉之问有防止血液倒流

的结构是      。

(4)在人体的血液循环中,肺循环的起始部位是    (填字母),终止部位是_________(填字母)。

试题详情

8、(11分)下面右边是一滴血在显微镜视野中的示意图。已知正常人红细胞的含量为(4.2-5.0)×1012个/L,白细胞为(4-10)×109 个/L,白细胞个体一般较红细胞大。请据图回答问题

   (“[  ]”中填写序号,“   ”内填写文字。)

(1)、图中[   ]是红细胞。某人经常精神不振,

容易疲劳,经血液化验,此人红细胞数目为

3×1012个/L。据此判断此人患有_______症。         

这种病人应多吃一些含__________和__________丰富的食物。

(2)、人体某处受伤感染时,[  ]白细胞会穿过毛细血管壁,

聚集在感染处,吞噬病菌。男女之间的数量上差异最大的是[  ]__________;具有运输养料和废物功能的是[  ]___________;能够携带氧的是[  ]___________。

试题详情

7、(9分)右图为人体血液循环途径示意图 

(1) 静脉血变为动脉血的场所是

[  ]    

(2) 与右心房相连的血管是[  ]   

和[  ]    ,它们都流   

(3) 体循环终止部位是[  ]__________ 。

试题详情

6、(4分)红细胞具有运输氧气的功能,与血红蛋白的特性有关,血红蛋白是一种含______的蛋白质,呈______色。它的特性是:它在氧含量高的地方,容易与氧_________,在氧含量低的地方,容易与氧_________。

试题详情

1、血液的组成是( )

A、血浆、血小板    B、红细胞、白细胞、血小板

C、血浆、血细胞    D、血浆蛋白、葡萄糖、氨基酸、水

2、下列哪一组中含有血浆中不应该有的物质 (    )

A.水、酶、无机盐、血小板    B.维生素、葡萄糖、激素

C.氨基酸、二氧化碳、血浆蛋白   D.氧、尿素、磷脂

3、下列关于白细胞主要功能的叙述,正确的是( )

A、对人体起防御、保护作用  B、运输养料和氧气

C、运输氧气和一部分二氧化碳  D、促进止血和加速血液凝固的作用

4、当体表某处受伤轻微出血时,具有止血和凝血作用的血液成分是       (  )

A血浆      B白细胞     C红细胞    D血小板

5、动脉血呈红色,主要因为它含较多的 (     )

A.红细胞    B.与氧结合的血红蛋白    C.养料    D.二氧化碳

6、用普通光学显微镜观察血涂片,在同一视野中所见到数目最多的细胞是(   )

A.白细胞     B.红细胞     C.血小板     D.淋巴细胞

7、下列细胞中能吞噬病菌的是  (    )

A.红细胞    B.脂肪细胞   C.白细胞     D.精细胞

8、人体成熟的血细胞中不具有细胞核的一组是(    )

A.红细胞和白细胞     B.血小板和白细胞  

C.血小板和红细胞     D.血细胞和红细胞

9、动脉是指( )

A、运送含二氧化碳等废物多的血液的血管 B、输送含氧和营养物质多的血液的血管

C、将血液从心脏运送到全身各处的血管 D、将血液从全身各处运输回心脏的血管

10、某战士在抢险时下肢受伤,伤及静脉,血液连续不断从伤口流出。此时应该 ( )                             A、压迫伤口近心端一侧的血管    B、压迫伤口远心端一侧的血管    

C、只用“创可贴”处理伤口即可   D、只用“红药水”处理伤口即可

11、日常生活中应关爱老年人。张大娘最近经常头昏,经医生测定,她的血压是19/14千帕(健康成人血压正常值为:12-18.7/8-12千帕)。据此数据分析,张大娘可能患有(   )

A.高血压      B.低血压        C.贫血        D.坏血病

12、体内静脉血和动脉血形成的场所分别是( )

A、组织间毛细血管、肺泡壁毛细血管  B、肺泡壁毛细血管、组织间毛细血管

C、静脉管内、动脉管内     D、动脉管内、静脉管内

13、下列有关血管中,流动着动脉血的是( )

A、主动脉、肺静脉 B、主动脉、肺动脉  C、肺动脉、主动脉 D、肺动脉、肺静脉

14、在血液循环中,静脉血变成动脉血的场所是( )

A、肺静脉  B、组织细胞间的毛细血管  C、肺动脉 D、肺泡外的毛细血管

15、心脏的壁由厚到薄的排序,依次是( )

A、左心室、右心室、心房 B、由心室、左心室、心房

C、心房、左心室、右心室 D、心房、右心室、左心室

16、左心室的壁最厚,其正确解释是(    )

A.左心室接受全身的血液,承受的压力最大     B.左心室接受全肺的血液,承受的压力最大

C.左心室收缩时要将血液送到肺部,收缩力最强   D.左心室收缩时要将血液送到全身,收缩力最强

17、许多人把贫血和低血压混为一谈,你知道吗?贫血指的是血液中红细胞或血红蛋白数量低于正常值,低血压指的是血液流动对血管壁产生的压力低于正常值,请你分析下面可能引起贫血的是(  )

A.失血过多   B.剧烈运动   C.头晕心慌   D.感冒发烧

18、如下图,将新鲜的血液分别放入A、B、C、D四支试管中,其中A、B试管中加入抗凝剂,C、D试管中不加任何物质,静置24小时后,其中正确的图示是(    )

 

 

 

 

19、使体循环和肺循环两条路线连在一起的器官是(    )

A.肺    B.心脏    C.毛细血管    D.组织

20、血液与组织细胞之间进行物质交换的场所是  (     )

A.心脏    B.动脉    C.静脉    D.毛细血管

21、静脉瓣的作用是  (    )

A.保护静脉血管壁     B.防止血液倒流   C.加速血液的流动    D.减少血液对静脉壁的压力

22、血液通过肺循环后,其成分的变化是(   )

A.由动脉血变成静脉血   B.由静脉血变成动脉血

C.养料增多,废物减少    D.养料减少,废物增多

23、心脏内以及心脏和动脉之间的瓣膜使血液的流动只能是(   )

A.右心房→右心室→肺动脉    B. 左心室→左心房→主动脉

C.肺动脉→右心房→右心室   D. 主动脉→左心房→左心室

24、肺动脉中血液成分是 (  )

A.含氧多,含养料少       B.含氧多,含养料也多

C.含氧少,含养料多       D.含氧少,含养料也少

25、看以下图形表示的选择血管排序正常的是(  )

 

 

 

A.静脉、动脉、毛细血管    B.毛细血管、静脉、动脉

C.静脉、毛细血管、动脉    D.动脉、静脉、毛细血管

26、护士给病人进行静脉注射前,先用手从上臂内侧向静脉远心端推压,随即用乳胶管扎紧上臂,结扎乳胶管的下方静脉就会膨大,显出结状突起。这证明了静脉( )

A、位置较浅      B、管腔大,血流慢

C、血液从近心端向远心端流   D、血管内有防止血液倒流的静脉瓣

27、若该战士是B型血,失血过多需输血时,应以输给何种血型的血为原则    (  )

A、 A型      B、B型      C、O型   D、AB

28、一个人的血量占体重的7%-8%,一个体重为50千克的健康成年人,若一次失血1400毫升,其结果是(     )

A.对身体毫无影响      B.对健康有影响,但可很快恢复

C.并不影响健康,可以很快恢复   D.危及生命

29、成年人一次献血200--300ml不会影响健康的原因是 (     )

A.损失200--300ml 的血液,人体丝毫没有影响  B.损失的血细胞和营养成分在不久之后会得到补充

C.少量损失血液有助于健康         D.血液的减少可以促进人体造血

30.小红一家三口的血型各不相同,爸爸可以给小红和妈妈输血,小红也可以给妈妈输血,但妈妈既不能给爸爸输血又不能给小红输血,爸爸、妈妈、小红的血型可能是(  )。

A.爸爸O型、妈妈AB型、小红B型  B.爸爸O型、妈妈A型、小红B

C.爸爸AB型、妈妈O型、小红B型  D.爸爸AB型、妈妈O型、小红A

二、非选择题(共55分)

1、(3分)人体的三中血细胞形态、大小和特点各不相同,你能判断出以下特点分别是哪种血细胞吗?具有细胞核的是__________,呈双面圆饼状的是___________,形态最小的是___________

2、(3分)在人体内具有三种结构、功能各具特点的血管是__________、___________、___________,它们共同构成了血液流通的管道。

3、(3分)输血的原则是输给_________血,否则输血后受血者血液中的_________会凝聚成团,妨碍血液循环。按此输血原则,某战士是AB型血,当他在训练中受伤需输血时,应输给_______型的血液。

4、(8分)右图为小江用显微镜观察小鱼尾鳍内的血液

流动情况,箭头表示血流方向,请根据图填写内容:

(1)他在视野中发现了这样一些血管

A段是(     )、B段是(     )C段是(     )

(2)辨别三种血管的理由是:动脉内血液由较

______的血管流向较______的血管;静脉内血液由

_________而分支多的血管汇流入较_______的血管;

毛细血管内血液中的红细胞一般成______通过。

5、(3分)血液在血管内向前流动,对血管壁造成的___________叫做血压。心脏收缩时,动脉血压达到的_________数值叫做收缩压;心脏舒张时,动脉血压下降到的__________数值叫做舒张压。

试题详情

(二)探究动物应激性

(1)在载玻片的一端滴清水,另一端滴加草履虫的培养液,并把这滴清水和培养液连通起来,用放大镜观察,草履虫大都聚集在_______。

(2)如果在草履虫的培养液边缘放一小粒食盐,用放大镜观察,草履虫都聚集在_______。

(3)上述实验现象说明动物的应激性使它趋向_______,逃避_______。

5.分析下面资料,重温科学家的研究思路,回答问题。 

1886年,德国的麦尔把患有花叶病的烟草叶片加水研碎,取其汁液滴到健康烟草的叶片上,结果引起花叶病,证明这种病是可以传染的,麦尔为此推想烟草花叶病是由细菌引起的。 

1892年,俄国的伊万诺夫斯基在实验中证实了麦尔所看到的现象,而且进一步发现,患病烟草植株的叶片汁液,通过细菌过滤器后,还能引发健康的烟草植株发生花叶病。证明致病因子不是当时所发现的最小生物--细菌。由于当时用光学显微镜无法看到致病因子的结构。他因此推测致病的病原体是比细菌小的“滤过性病毒”。 

1898年,荷兰的贝杰林克再次证明了伊万诺夫斯基的发现,他用“病毒”来命名这种致病因子。同时,德国的莱夫勒和费罗施也证明了引起牛口蹄疫的病原体也是“滤过性病毒”。 

由于他们的杰出工作,才发现了烟草花叶病毒,开创了病毒学发展的新时代。 

(1)麦尔发现的问题:烟草花叶病能够  。为此做出的推测:    。 

(2)伊万诺夫斯基在实验中进一步发现:      。 

由此他做出了新的推测:        。 

(3)后来又有三位科学家进一步证实了伊万诺夫斯基的重大发现,并将这种致病因子命名为  。 

(4)现在我们已经知道了病毒的结构,在电子显微镜下看到的烟草花叶病毒是( ) 

(5)病毒的发现史给予我们的启示是:       。 

试题详情

(一)实验:观察草履虫

(1)从草履虫培养液的    层吸一滴培养液,这是因为          ,并将培养液滴在载玻片上,用_____________观察草履虫。

(2)盖上盖玻片,在    倍镜下观察草履虫的形态和运动。如果草履虫运动过快,可以先在液滴中放几丝      ,再盖上盖玻片,寻找一只运动相对    的草履虫进行观察。 

试题详情

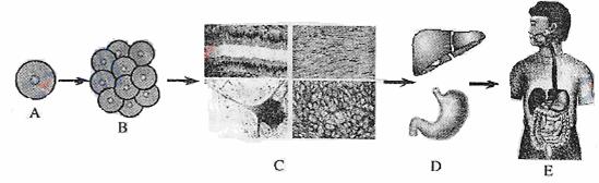
1.下图中,A--E示意人体的不同结构层次,请据图分析回答下列问题。

(1)整个人体都是由A细胞发育而成的,A细胞是___________。

(2)A细胞通过____________形成B。在此过程中,______________复制后形成形态、数量完全相同的两等份,分别进入两个新细胞。

(3)B通过__________C。在此过程中,细胞的形态、结构和功能产生了差异。

(4)在上图的结构层次当中,人体具有而植物没有的是[  ]___________。

(5)系统是能够共同完成一种或几种生理功能的多个器官按照一定次序的组合。图中所示的系统具有的生理功能是_______________和________________。

2.根据右图回答问题:         

(1)[  ]    和[  ]     是细胞内的能量转换器。     

(2)能控制物质进出的是[  ]    

(3)试指出其他两个结构:[3]    [4]     

(4)在植物细胞中有,在动物细胞中没有的结构是    

3.右图是草履虫的结构图,请读图并完成后面的填空。

(1)草履虫生活在_______中,靠[  ] ________进行运动。    

(2)食物在[  ] ________附近的纤毛的快速摆动下被送如口内,再进入[  ] ________内,形成[  ]________,逐渐被消化。                         

(3)草履虫通过[  ] ________从水中获得氧气,并通过其将产生的二氧化碳排出体外。                 (4)草履虫代谢的废物是由[  ] ________收集,进而排出体外的。   

(5)不能消化的食物残渣从[  ]     排出。           

(6)根据显微镜下的观察,草履虫不具备     ,不能进行光合作用,以水中的细菌、真菌和其他有营养的碎屑为食物,因此属于生态系统中的    

4.实验探究

试题详情

20.今年3月份,我省菏泽市发生了手足口病疫情,EV71病毒是引起该病的病原体之一。下列哪项表明该病毒属于生物    (   )

A. 由有机物组成         B. 具有细胞结构   

C. 能在人体细胞内繁殖     D. 能使人体发病

试题详情


同步练习册答案