题目列表(包括答案和解析)

 0  178824  178832  178838  178842  178848  178850  178854  178860  178862  178868  178874  178878  178880  178884  178890  178892  178898  178902  178904  178908  178910  178914  178916  178918  178919  178920  178922  178923  178924  178926  178928  178932  178934  178938  178940  178944  178950  178952  178958  178962  178964  178968  178974  178980  178982  178988  178992  178994  179000  179004  179010  179018  447348 

2.(12分)冬天,我省的许多菜农利用温室栽培蔬菜。在温室中,蔬菜可直接在土壤中栽培,也可利用人工配制的营养液进行无土栽培。右下图是小明家的一个冬暖式蔬菜大棚剖面图。请联系生产生活实际帮助他解答下列问题:

(1)在蔬菜生产旺盛时期,透明塑料膜内常有一些水滴,这些水滴主要来自植物的       

(2)菜农常采用白天适当增加光照,夜晚适当降低室温的措施,以提高蔬菜产量。其中的科学道理是                 

                  

(3)菜农常常对温室内的土栽蔬菜施用有机肥,不但培育了绿色蔬菜,而且温室内的CO2浓度也大大增加。CO2浓度增加的主要原因是                  

           

(4)某菜农在蔬菜大棚内种植的芹菜,出现了叶片发黄,且茎秆易倒伏的症状,你应该建议他多施含      的肥料。

(5)右上图是某温室从16点开始持续密封48小时,测得温室内C02体积分数的变化情况。试分析:

①曲线b-c大幅度下降的原因是       

         ,曲线c-d略有升高的原因是 

         

②检测结果表明,要提高温室内的蔬菜产量必须适时通风。你认为每天通风的时间最好选在曲线       区段相对应的时间内进行。

试题详情

1.(10分)生物学知识与我们的生活密切相关。请你根据所学的知识解答:

(1)2008年北京奥运会实施了358个“绿色奥运”,其中建筑节能项目所节约的能源,相当于每年减少20万吨二氧化碳的排放。这有利于维持生物圈的         

(2)2009年8月8日台风莫拉克重创台湾,造成了严重的人员伤亡和财产损失。灾情较重地区与外界失去联系时间较长。那么被困群众最后靠消耗体内的      来维持生命;被救出后常常赶紧点滴葡萄糖液,这是因为               

(3)2009 年 11 月 27 日四川《内江日报》报道:近日气温回升,果农们趁着天气晴好忙着采收已成熟的脐橙。今年脐橙水分充足,口感较好。脐橙内的水分是靠植物体内的      运输的;从构成生物体的结构层次来看,我们吃下去的一个脐橙属于      

(4)关注“三农”,大大激发了农民种田的积极性,我国粮食产量连续五年增长,使得农村经济可持续发展。农民每年刚收获打下来的粮食会发热,分析这些热量来自于细胞中的      (填有机物或无机物);细胞进行该过程的能量转换器是    

(5)右图表示一个细胞完成个体发育的过程。 

①A-D过程是通过     完成的。

②白血病是造血系统的恶性肿瘤,又称“血癌”,该病居年轻人恶性疾病中的首位。在D→E、F、G、H的个体发育过程中,表现为 D的细胞不能正常完成    

   的结果。

试题详情

7.在甲、乙、丙、丁四个培养皿中分别放等量的棉花,再将相同数量(各100粒)的绿豆种子放在上面,在不同条件下进行培养。数日后记录种子萌发情况如下表。

装置




场所
日光下
日光下
黑暗中
黑暗中
温度
23 ℃
23 ℃
23 ℃
23 ℃
棉花干湿状态
潮湿
干燥
潮湿
干燥
数日后种子 萌发情况
发芽
未发芽
发芽
未发芽
发芽
未发芽
发芽
未发芽
92
8
0
100
93
7
0
100

(1)根据本实验,可得出的结论是:种子萌发需要      

(2)种子萌发后,如果继续培养几周,幼苗生长较好的应该是组。你判断的理由是:      

(3)要证明“黑暗对种子萌发是否有影响”,在实验设计上可选用       作对比。

(4)丙组中有7粒种子没有萌发,请你给一个合理的解释。

试题详情

6.某同学进行了无土栽培的尝试(如图),据图回答问题。

             甲                   乙

(1)甲、乙两瓶都应当放在怎样的环境中?

(2)为什么甲植株生长状况比乙植株好?

试题详情

5.一天下课后,王鹏和王磊这一对双胞胎正在争吵。王鹏说:“种在肥沃的土壤中的种子先发芽。”王磊说:“种在贫瘠的土壤中的种子先发芽。”

(1)你认为谁说得对?为什么?

(2)种子萌发是否需要从外界吸收无机盐呢?王鹏和王磊设计了以下实验:①将适量的土壤分别装入A、B两个烧杯中;②在两个烧杯中各种上5粒小麦种子;③定期在A烧杯中浇清水,在B烧杯中浇配置的完全营养液;④观察两个烧杯中种子的萌发情况。根据王鹏和王磊的实验设计回答下列问题。

①本实验设计中的变量是                   

②你认为他们设计的A、B两组实验是对照实验吗?为什么?

③如果你认为该实验方案还可以进一步改进,请提出你的修改意见。

试题详情

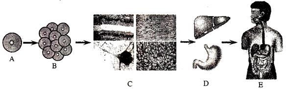
6. 下图中,A---------E示意人体的不同结构层次,请据图分析回答下列问题。

(1)整个人体都是由A细胞发育而成的,A细胞是_____________________________。

(2)A细胞通过______________形成B。在此过程中,______________复制后形成形态、数量完全相同的两等份,分别进入两个新细胞。

(3)B通过_________________形成C。在此过程中,细胞的形态、结构和功能产生了差异。

(4)在上图的结构层次当中,人体具有而植物没有的是[   ]______________。

(5)系统是能够共同完成一种或几种生理功能的多个器官按照一定的次序组合。图中所示的系统具有生理功能是___________和______________。

(6)人体的组织类型有:__________ 、___________、肌肉组织和神经组织。

试题详情

5. 如果你翻动花园、庭院中的花盆或石块,常常会看到一些身体略扁、长椭圆形、灰褐色或黑色的小动物在爬行,这就是鼠妇,又叫潮虫。当你搬开花盆或石块,鼠妇很快就爬走了。这是为什么呢?是因为环境变明亮了吗?某同学对此进行了探究,请你将他探究活动的过程填写完整。

(1)提出问题:鼠妇会选择阴暗的环境吗?

(2)作出假设:

(3)制定并实施探究方案:在铁盘内放上一层湿土,一侧盖上不透光的纸板,另一侧盖上透明的玻璃板,在铁盘两侧的中央处各放5只鼠妇,观察鼠妇的行为。该实验的变量是      。如果在铁盘两侧中央各放1只鼠妇是否可以得出准确的结论?为什么?

(4)分析结果,得出结论:该同学对上述实验重复了5次,结果如下表:

  环境
  第一次
  第二次
  第三次
  第四次
 
  第五次
  明亮
  0只
  1只
  2只
  O只
  2只
  阴暗
  10只
  9只
  8只
  10只
  8只

为了使实验结论更准确,应对上述数据做怎样的处理?

               

从中得出的实验结论是      。

(5)表达和交流。

试题详情

4. 请回答下列有关实验操作技能的问题。(5分)

①如果在显微镜下观察到的物像不够清晰,应略微转动________进行调节。

②为洋葱表皮细胞临时装片染色,可把一滴稀碘液滴在_________的一侧,在另一侧用吸水纸吸引,使染液浸润标本的全部。

(2)请回答下列有关科学研究方法的问题

①要了解校园里生物的种类,应采用______法。

②要了解马与驴在外形上的相同或不同之处,应采用_______法。

③要了解鱼的尾鳍在游泳中的作用,如果单凭观察难以得出结论,可采用________法。

试题详情

3. 了解它的结构与功能,完成下列各题(括号

内填标号):(11分)

(1)有成像功能的结构是[   ]     

[   ]      

(2)对光时,在做好准备步骤的基础上,再转

动[   ]      ,使光线经通光孔反射到镜筒内,

从[   ]     可以看到白亮的圆形视野。

(3)转动时使镜筒升降幅度大的结构是[   ]     ,在观察时要与低倍物镜还是高倍物镜配合使用?              

试题详情


同步练习册答案