题目列表(包括答案和解析)

 0  178851  178859  178865  178869  178875  178877  178881  178887  178889  178895  178901  178905  178907  178911  178917  178919  178925  178929  178931  178935  178937  178941  178943  178945  178946  178947  178949  178950  178951  178953  178955  178959  178961  178965  178967  178971  178977  178979  178985  178989  178991  178995  179001  179007  179009  179015  179019  179021  179027  179031  179037  179045  447348 

2.右图是尿液形成示意图,请据图回答:(“[  ]”中填写序号,“   ”内填写文字。)

(1)图中[4]、[5]、[6]合称为            

(2)形成尿的过程中,当血液流经[5]         时,

会发生滤过作用,形成原尿,当原尿流经[  ]肾小管时,肾小管会对原尿中的有用成分进行重吸收。

(3)如果血液中葡萄糖浓度过       (填“高”或“低”),

就会有一部分从尿中排出,形成糖尿。糖尿病的原因一般是胰岛所分泌的      不足引起的,因而对该类糖尿病患者可通过注射这种激素制剂来治疗。

试题详情

1. 如图是肾单位的结构示意图,请据图回答下列问题。

   (1)尿液的形成包括了图中[2]肾小球的     作用、[7]肾小管的     作用和分

泌三个过程。

   (2)图中[1]入球小动脉内和[3]出球小动脉内流动的血液是     血。

   (3)图中[5]肾小囊腔内形成的滤液称为      。

   (4)肾单位是由肾小球、肾小囊和     组成的。

试题详情

4、意义:排出废物,调节体内水和无机盐的平衡,维持组织细胞的正常生理功能。

*描述排泄途径

  排泄:二氧化碳、尿素、和多余的水排出体外的过程。出汗、呼吸、排尿等是排泄的途径。

注意与排遗区别:食物消化后形成的残渣排出体外的过程是排遗。

*皮肤的结构

包括表皮和真皮两部分,表皮包括角质层和生发层。真皮内有血管和神经末梢。

*皮肤的功能

有保护、排泄、调节体温、分泌等功能。

*汗液的形成

血液流经分泌部时,血液中的水分、无机盐等进入分泌部形成汗液。

例题解析

 [例1]某人的尿量比正常情况下多数倍,发生病变的部位可能是(  )。若验尿发现其中有红细胞、蛋白质等,估计病变的部位可能是(   )。

A.肾小球       B.肾小体       C.肾小管       D.肾小囊 

解析:本题考查的主要是尿的形成的有关知识。肾单位是尿形成的基本单位,血液由入球小动脉流经肾小球时,由于肾小球和肾小囊内壁的滤过作用,形成原尿。原尿流经肾小管时,有用的物质被重吸收,形成尿液。尿量增多,是由于肾小管发生病变,重吸收作用受到影响。尿液中出现血细胞和蛋白质,主要是由于肾小球病变,通透性增加导致。

答案:C A 

[例2]下面是一个健康人的血浆、原尿和尿液的三个样品中主要的物质质量分数比较表,请根据表中的数据回答问题(数据单位是克/毫升)。

物质
样品A
样品B
样品C
葡萄糖
0.1
0.1
0.1
无机盐
1.6
0.75
0.9
蛋白质
0.0
微量
7.0
尿素
2.0
0.03
0.03

(1)样品A是_________________,原因是________________________;

(2)样品B是________________,原因_____________________________;

(3)样品C是_________________,原因是___________________________;

(4)样品B中的葡萄糖是经过____________________作用出现的,样品A中葡萄糖是经过作用而没有的。

解析:本题考查的是血浆、原尿和尿液成分的区别。根据A、B、C三个样品中葡萄糖、无机盐、蛋白质和尿素的含量,来分辨三种液体。正常人的原尿中只含微量的小分子蛋白质,葡萄糖含量与血浆相同,尿液中不含有葡萄糖和蛋白质。 

答案:(1)尿液  尿液中有无机盐、尿素,没有

葡萄糖和蛋白质 

(2)原尿 原尿中有葡萄糖、无机盐和尿素 

(3)血浆 血浆中既有蛋白质、葡萄糖,又含有无机盐和尿素 

(4)肾小球和肾小囊内壁的滤过作用 肾小管的重吸收作用 

[例3]某人划破了手指导致出血,伤口至少深至皮肤的(  )。

A.表皮       B.生发层       C.角质层       D.真皮 

解析:本题考查的是皮肤的结构。皮肤包括表皮和真皮两部分,表皮由角质层和生发层组成,表皮内没有血管和神经,真皮中有大量的胶原纤维、弹性纤维,有丰富的血管和神经。伤口流血了,至少已经伤至真皮。 

答案:D

典型中考试题

试题详情

3、尿的排出:尿首先通过输尿管到达膀胱,当膀胱里的尿储存到一定量时,通过尿道排出尿液。

试题详情

2、肾小管的重吸收作用:原尿经肾小管时,全部的葡萄糖、大部分的水和部分无机盐等被重吸收到肾小管周围的毛细血管中。余下的水、无机盐和尿素形成尿液。每天排除的尿液大约为1.5升。

试题详情

1、肾小球的过滤作用:除血浆中的血细胞和大分子蛋白质以外,一部分水,无机盐、葡萄糖和尿素等物质透过肾小球和肾小囊壁滤过到肾小囊腔内,形成原尿。人体每天大约形成150升原尿。

试题详情

6.某实验小组探究“烟草浸出液对水蚤心律的影响”,进行了下列实验。

   材料和条件:

15℃的室温条件下,用10只大小一致、10秒内水蚤跳动范围在30-36次之间的成年水蚤,做了A、B两组实验,观察水蚤10秒内心跳次数;四份等量的香烟烟丝中分别加入20mL、30mL、40mL、50mL的蒸馏水浸泡1天的浸出液。

实验方法:

①A组:每只水蚤先放在清水中计数,

重复3次。

②B组:将A组的水蚤分别移入20mL、

30mL、40mL、50mL蒸馏水的烟丝浸出液,

同样重复3次。

③处理数据:分别计算出A、B两组实验数据的平均值,将得到的数据绘成如上曲线图。

分析回答:

(1)根据曲线,我们可知烟草浸出液对水蚤心率具有      作用,浓度越高,则         

(2)设置A 的作用是      ,在A、B实验过程中,要求相同的室温条件、大小一致的水蚤、等量的香烟烟丝等这些条件,这样做的目的是             

(3)通过这个实验,我们可以认识到烟草对生物体是有影响的。请你用所学到的知识分析吸烟对健康的危害:                            

                                      

试题详情

5. 图5是人体血液循环模式图,请据图回答:

⑴经过1处的气体交换后,血液成分的主要变化是   

⑵在心脏的四腔中,[]  的壁最厚。

⑶若在患者a处输药液,应在  处扎胶皮管(填b或c)让血管隆起;药物最先到达心脏的[]  

⑷某人排出的尿液中含有大量葡萄糖,说明肾脏的[]

   发生了病变。

试题详情

4. 右下图表示人体不同组织处血管示意图(A、B、C分别表示不同类型的血管),请据图分析回答:

(1)与A、C比较,血管B的结构特点是___________________________________。

(2)若A中流动的是静脉血,C中流动的是动脉血,则B是____________处的毛细血管网;在B处完成的生理活动是___________________。

(3)若B为肾小球处的毛细血管网,则在A、C内流动的都是_______血,C内血液中浓度明显升高的物质是___________________  。

(4)若B为肾小管外的毛细血管,则A所示血管为___________,在B处完成的生理活动是___________________。

(5)若B为臀大肌内的毛细血管网,则C内流动的是__________血。

(6)若B为小肠绒毛内的毛细血管网,C内血液与A内血液相比较,除二氧化碳外,含量明显增加的是_________________。

试题详情

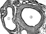
3. 图1是人体内的动脉和静脉的横切面图。图2是人体内血液与组织细胞之间的气体交换示意图。请据圈回答有关的问题。(每空1分, 共10分。)

     

         图1                图2

(1)图1中的编号①血管是________血管,理由是该血管的管壁较________。

(2)图1中的编号②血管是________血管,血液在该血管内流动的速度________。

(3)图2中的X气体是________,Y气体是________。

(4)图2中的血液是在________血管内流动,该血管壁是由________层上皮细胞构成。

(5)写出血液在这三种血管之间流动的方向:(  )→(   )→(  )。

试题详情


同步练习册答案