题目列表(包括答案和解析)

 0  184138  184146  184152  184156  184162  184164  184168  184174  184176  184182  184188  184192  184194  184198  184204  184206  184212  184216  184218  184222  184224  184228  184230  184232  184233  184234  184236  184237  184238  184240  184242  184246  184248  184252  184254  184258  184264  184266  184272  184276  184278  184282  184288  184294  184296  184302  184306  184308  184314  184318  184324  184332  447348 

16.下列有关人体在寒冷环境中防止体温下降的适应性反应的叙述中,不正确的是

A.皮肤血管多数收缩             B.汗液分泌减少

C.骨骼肌出现“战栗”            D.皮肤散热增加

试题详情

15.饮酒过量的人走路不稳,是下列哪个结构受到了影响?

A.小脑      B.脊髓    C.大脑    D.脑干

试题详情

14.下列有关内环境的说法中,不正确的是 

A.血浆渗透压的大小主要与无机盐和蛋白质的含量有关

B.血浆的pH稳定与它含有的HCO3、HPO42等离子有关 

C.内环境中含量最多的成分是蛋白质

D.人体细胞外液的温度一般维持在在37OC左右,即人体的正常体温

试题详情

13.右图表示生长素浓度对根生长的影响,下列叙述不正确的是

A.在a点对应浓度时,根停止生长

B. b点相应浓度是促进根生长的最佳浓度

C.在c点对应浓度时,仍可促进根的生长

D.在d点对应浓度时,根的生长受到抑制

试题详情

12. 某高一同学在新生军训时,脚底打了泡,泡破后流出的浅黄色液体是

A.血浆     B.组织液     C.淋巴        D.细胞外液

试题详情

11.正常情况下,以下物质属于人体内环境组成成分的是

①血红蛋白   ②葡萄糖    ③无机盐    ④激素

A.①③④                  B.②③④ 

C.①②③                  D.①②④

试题详情

10.下列膜电位变化的示意图中,能正确表示神经纤维由静息状态转变为兴奋状态的是

 

试题详情

9.对于多细胞生物而言,下列有关细胞生命历程的说法,正确的是     

    A.高度分化的植物细胞仍然具有细胞的全能性

    B.细胞癌变是所有细胞都要经历的一个阶段

    C.细胞衰老时呼吸速率加快

    D.细胞坏死是细胞癌变的结果

试题详情

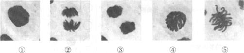
8.细胞有丝分裂的过程一般描述为分裂间期、

分裂前期、分裂中期、分裂后期、分裂末

 期,按此描述的分裂过程排列①-⑤显微照片,相应的顺序是

A.①→②→③→④→⑤        B.①→④→⑤→②→③

C.③→⑤→④→②→①        D.④→⑤→③→①→②

试题详情

7.比较动植物细胞有丝分裂过程,可发现的不同之处是

A.纺锤体的形成方式不同         B.DNA的复制方式不同 

C.分裂中期的特点不同          D.染色体的形成方式不同

试题详情


同步练习册答案