0  150147  150155  150161  150165  150171  150173  150177  150183  150185  150191  150197  150201  150203  150207  150213  150215  150221  150225  150227  150231  150233  150237  150239  150241  150242  150243  150245  150246  150247  150249  150251  150255  150257  150261  150263  150267  150273  150275  150281  150285  150287  150291  150297  150303  150305  150311  150315  150317  150323  150327  150333  150341  447090 

26.式①和式②分别表示的是绿色植物体内进行的两种生理活动,请根据此式回答问题或填表。(第1、2题每空2分,第3题每空1分,共10分。) 

(1)式①表示的生理活动是________。

(2)式②中的“能量”的最终来源是式①中的________。

(3)填写下表,简要比较绿色植物体内的这两种生理活动。

生理活动
原料
产物
进行的部位
式①表示的生理活动
 
 
 
式②表示的生理活动
 
 
 

试题详情

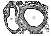
25.图1是人体内的动脉和静脉的横切面图。图2是人体内血液与组织细胞之间的气体交换示意图。请根据下图回答有关的问题。(每空1分, 共10分。)

    

         图1                 图2

(1)图1中的编号①血管是________血管,理由是该血管的管壁较________。

(2)图1中的编号②血管是________血管,血液在该血管内流动的速度________。

(3)图2中的X气体是________,Y气体是________。

(4)图2中的血液是在________血管内流动,该血管壁是由________层上皮细胞构成。

(5)写出血液在这三种血管之间流动的方向:(  )→(   )→(  )。

试题详情

24.根据“膝跳反射实验”的操作步骤。探究膝跳反射是简单的反射还是复杂的反射。(每题2分,共10分。)

   膝跳反射实验的操作步骤:

     ①每两位同学一组,两人轮换进行实验。②一位同学作为受试者坐在椅子上,一条腿着地,另一条腿自然地搭在这条腿上。③另一位同学用手掌内侧的边缘,迅速叩击一下受试同学上面的那条腿膝盖下面的韧带。

(1)你提出的问题是____________________________________?

(2)你做出的假设是____________________________________。

(3)实验现象是:叩击韧带时,小腿出现的反应是__________________。

(4)你对实验现象的解释是______________________________________________。

(5)你的结论是____________________________________。

试题详情

23.甲乙两位同学,一位同学完成的是“制作和观察洋葱鳞片叶表皮细胞临时装片”的实验。另一位同学完成的是“制作和观察人的口腔上皮细胞临时装片”的实验。请根据他们所做的实验回答问题。(每空2  分,共10分。)

(1)甲同学在制作临时装片时,在洁净的载玻片中央滴的是一滴生理盐水,他制作的是_________细胞临时装片。

(2)乙同学用显微镜观察他所制作的临时装片时,看到的细胞物像在视野的左上方,要将该  细胞物像移到视野中央,他应该向_________方向移动装片。

(3)两位同学在绘细胞结构图时,图中比较暗的地方,应该用铅笔_________来表示。

(4)分别观察两位同学制作的临时装片后,他们发现:洋葱鳞片叶表皮细胞有_______和_________ ,而人的口腔上皮细胞没有这些结构。

试题详情

22.下面是某生态系统中的食物网简图。请据图回答有关问题。(每空2  分,共10分。)

(1)该食物网由_________条食物链组成。

(2)写出其中最长的一条食物链________________________。

(3)鹰和蛇之间存在着两种关系,一种是捕食关系,另一种是_________关系。

(4)正常情况下,该食物网中个体数量最多的生物是________。

(5)该食物网和________一起,构成了该生态系统中的生物部分。

试题详情

21.填空题(每题2分,共10分。)

(1)人体呼吸系统的主要器官是_________。

(2)科学家通过研究发现,染色体是由____________和蛋白质两种物质组成。

(3)引起传染病的细菌、病毒和寄生虫等生物,称为____________。

(4)人体神经系统是由____________、脊髓和它们发出的神经组成。

(5)预防血吸虫病的主要措施是:①避免或减少接触疫水;②___________; ③饮用安全卫生水;④药物预防。

试题详情

20.当人体内的肺泡与血液之间发生了气体交换后,血液中气体含量的变化是

   A.氧气和二氧化碳都增多   B.氧气减少,二氧化碳增多

   C.氧气和二氧化碳都减少   D.氧气增多,二氧化碳减少

试题详情

19.蝗虫的发育过程比家蚕的发育过程少了哪一个时期?

   A.卵   B.幼虫   C.蛹  D.成虫

试题详情

18.人人生来就有,不针对某一特定的病原体,而是对多种病原体都有防御作用,这种免疫

   叫做

   A.后天性免疫   B.计划免疫   C.特异性免疫   D.非特异性免疫

试题详情

17.在构成人体心脏的四个部分中,将血液送入主动脉的是

   A.左心房   B.左心室   C.右心房  D.右心室

试题详情


同步练习册答案