题目列表(包括答案和解析)

 0  213220  213228  213234  213238  213244  213246  213250  213256  213258  213264  213270  213274  213276  213280  213286  213288  213294  213298  213300  213304  213306  213310  213312  213314  213315  213316  213318  213319  213320  213322  213324  213328  213330  213334  213336  213340  213346  213348  213354  213358  213360  213364  213370  213376  213378  213384  213388  213390  213396  213400  213406  213414  447348 

5、(11年广东卷)以下关于猪血红蛋白提纯的描述,不正确的是

A.洗涤红细胞时,使用生理盐水可防止红细胞破裂

B.猪成熟红细胞中缺少细胞器和细胞核,提纯时杂蛋白较少

C.血红蛋白的颜色可用于凝胶色谱法分离过程的监测

D.在凝胶色谱法分离过程中,血红蛋白比分子量较小的杂蛋白移动慢

试题详情

39.[生物 --选修1:生物技术实践](15分)

[答案]

⑴原油 选择

⑵平板划线法  稀释涂布平板法

⑶强。

⑷干热灭菌法  高压蒸汽灭菌法  火焰

试题详情

39.(11年新课标卷)[生物 --选修1:生物技术实践](15分)

有些细菌可分解原油,从而消除由原油泄漏造成的土壤污染。某同学欲从污染的土壤中筛选出高效降解原油的菌株。回答问题:

⑴在筛选过程中,应将土壤样品稀释液接种于以         为唯一碳源的固体培养基上,从功能上讲,该培养基属于       培养基。

⑵纯化菌种时,为了得到单菌落,常采用的接种方法有两种,即        

⑶为了筛选出高效菌株,可比较单菌落周围分解圈的大小,分解圈大说明该菌株的降解能力     

⑷通常情况下,在微生物培养过程中实验室常用的灭菌方法有灼烧灭菌、

                。无菌技术要求试验操作应在酒精灯

         附近进行,以避免周围环境中微生物的污染。

试题详情

28.(8分)

  (1)使组织中细胞相互分离开来

  (2)先在低倍镜下观察,缓慢移动装片,发现理想视野后换用高倍镜

  (3)碱

  (4)每组装片观察多个视野

  (5)①0.01%   ②0.01%秋水仙素溶液诱导24 h,再在清水中培养36 h

  (6)秋水仙素处理发生在上一个细胞周期纺锤体形成之后

试题详情

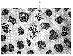
28.(2011年江苏卷)(8分)洋葱(2n=16)为二倍体植物。为比较不同处理方法对洋葱根尖细胞分裂指数(即视野内分裂期细胞数占细胞总数的百分比)的影响,某研究性学习小组进行了相关实验,实   验步骤如下:

①将洋葱的老根去除,经水培生根后取出。

②将洋葱分组同时转入质量分数为0. 01%、0. 1%秋水仙素溶液中,分别培养24 h、36 h、

48 h;秋水仙素处理停止后再转入清水中分别培养0 h、12 h、24 h、36 h。

③剪取根尖,用Carnoy固定液(用3份无水乙醇、1份冰乙酸混匀)固定8h,然后将根尖浸泡在1 mol/L盐酸溶液中5~8 min。

④将根尖取出,放入盛有清水的培养皿中漂洗。

⑤用石炭酸一品红试剂染色。

⑥制片、镜检;计数、拍照。

实验结果:不同方法处理后的细胞分裂指数(%)如下表。

秋水仙素溶液处理
清水培养时间(h)
质量分数(%)
时间(h)
0
12
24
36
0. 0l
24
10. 71
13. 68
14. 19
14. 46
36
9. 94
11. 99
13. 59
13. 62
48
7. 98
10. 06
12. 22
11. 97
0.1
24
7. 74
9. 09
11. 07
10. 86
36
6. 12
7. 87
9. 98
9. 81
48
5. 97
6. 68
7. 98
8. 56

请分析上述实验,回答有关问题:

(1)步骤③中“将根尖浸泡在1 mol/L盐酸溶液中”的作用是  ▲ 

(2)步骤⑥为了获得相应的观察视野,镜检时正确的操作方法是  

(4)为了统计数据更加科学,计数时应采取的方法是  ▲ 

(5)根据上表结果可以得出如下初步结论:

 ①质量分数为  ▲   秋水仙素溶液诱导后的细胞分裂指数较高;

 ②本实验的各种处理中,提高细胞分裂指数的最佳方法是  ▲ 

(6)右面为一位同学在步骤⑥所拍摄的显微照片,形成 细胞a的最可能的原因是  ▲ 

试题详情

4.(2011年安徽卷)人体甲状腺滤泡上皮细胞具有很强的摄碘能力。临床上常用小剂量的放射性同位素131I治疗某些甲状腺疾病,但大剂量的131I对人体会产生有害影响。积聚在细胞内的131I可能直接

A.插入DNA分子引起插入点后的碱基引起基因突变

B. 替换DNA分子中的某一碱基引起基因突变

C. 造成染色体断裂、缺失或易位等染色体结构变异

D.诱发甲状腺滤泡上皮细胞基因突变并遗传给下一代

答案:C

解析:考察生物变异。131I作为放射性物质,可以诱导生物变异。但不是碱基的类似物,不能插入或替换DNA的碱基,发生基因突变。放射性物质产生射线,可以诱导基因突变,但发生在甲状腺滤泡上皮细胞基因突变不能遗传给下一代。

试题详情

22.(2011年江苏卷)在有丝分裂和减数分裂的过程中均可产生的变异是(多选)  ACD

A.DNA复制时发生碱基对的增添、缺失或改变,导致基因突变

B.非同源染色体之间发生自由组合,导致基因重组

C.非同源染色体之间交换一部分片段,导致染色体结构变异

D.着丝点分裂后形成的两条染色体不能移向两极,导致染色体数目变异

试题详情

25、[解析]A项,突变是不定向的,故A错。D项,细菌是原核生物,没有染色体,故D错。抗生素的滥用相当于对细菌进行了自然选择,导致了超强耐药性基因NDM-1在该细菌中逐代积累,该NDM-1基因编码金属β-内酰胺酶,由此推测金属β-内酰胺酶使许多抗菌药物失活。故BC正确。   答案:BC

试题详情

25、(11年广东卷)最近,可以抵抗多数抗生素的“超级细菌”引人关注,这类细菌含有超强耐药性基因NDM-1,该基因编码金属β-内酰胺酶,此菌耐药性产生的原因是(多选)

A、定向突变              

B、抗生素滥用 

C.、金属β-内酰胺酶使许多抗菌药物失活  

D、通过染色体交换从其它细菌获得耐药基因

试题详情

2.(11年四川卷)下列有关生物膜结构和功能的描述,不正确的是

A.植物原生质体的融合依赖于细胞膜的流动性

B.合成固醇类激素的分泌细胞的内质网一般不发达

C.分泌蛋白的修饰加工由内质网和高尔基体共同完成

D.生物膜之间可通过具膜小泡的转移实现膜成分的更新

答案:B

解析:植物原生质体的融合依赖于细胞膜的一定的流动性;分泌蛋白的修饰加工由内质网和高尔基体共同完成;内质网与蛋白质、脂质、糖类的合成有关,因此合成固醇类激素的细胞内质网也发达。因此B错。

试题详情


同步练习册答案