0  241840  241848  241854  241858  241864  241866  241870  241876  241878  241884  241890  241894  241896  241900  241906  241908  241914  241918  241920  241924  241926  241930  241932  241934  241935  241936  241938  241939  241940  241942  241944  241948  241950  241954  241956  241960  241966  241968  241974  241978  241980  241984  241990  241996  241998  242004  242008  242010  242016  242020  242026  242034  447090 

4.(2008湘潭)血液流经肾脏后,对其成分的变化,表述正确的是

   A.氧气增加     B.尿素减少    C.二氧化碳减少  D.葡萄糖增加

试题详情

3.(2008湘潭)在人体泌尿系统中,形成尿液的器官是

   A.尿道      B.膀胱      C.输尿管    D.肾脏

试题详情

2.(2008枣庄)下列有关肾小球的说法,不正确的是

  A.肾小球是由毛细血管缠绕而成的一个血管球

  B.肾小球若发生病变,则可能会导致血尿

  C.人球小血管和出球小血管均是小动脉

  D.肾小球中的液体是原尿

试题详情

1.(2008唐山)如果一个人的尿液中发现了血细胞,发生病变的部位可能是

A.肾小囊       B.肾小管     C.肾小球     D.输尿管

试题详情

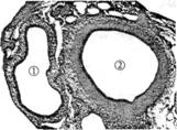
12.(2008黄石)图1是人体内的动脉和静脉的横切面图。图2是人体内血液与组织细胞之间的气体交换示意图。请据圈回答有关的问题。(每空1分, 共10分。)

     

         图1                图2

(1)图1中的编号①血管是________血管,理由是该血管的管壁较________。

(2)图1中的编号②血管是________血管,血液在该血管内流动的速度________。

(3)图2中的X气体是________,Y气体是________。

(4)图2中的血液是在________血管内流动,该血管壁是由________层上皮细胞构成。

(5)写出血液在这三种血管之间流动的方向:(  )→(   )→(  )。

试题详情

11.(2008益阳)下图实线表示动脉血的流动,虚线表示静脉血的流动,下列哪项正确地表示了体循环的途径(  )

                

A. ④→⑩→⑨→⑧→①       B. ③→⑤→⑥→⑦→②    

C. ②→④→⑩→⑨→⑧→①→③   D. ①→③→⑤→⑥→⑦→②→④

试题详情

10.(2008宜昌)心脏的四个腔中,与肺动脉相连的是        

  A.左心房   B.左心室   C.右心房    D.右心室  

试题详情

9.(2008宜昌)右图为人体毛细血管里的血液流动情况,图中②为              

A.红细胞              B.白细胞

C.血小板              D.血浆

试题详情

8.(2008盐城)

有凝集现象   无凝集现象   无凝集现象    有凝集现象
 
 
无凝集现象   有凝集现象   无凝集现象    有凝集现象
 
 
①       ②        ③       ④
 
志愿者
 
 
A型标准血清
 
 
 
B型标准血清
 
 
汶川地震导致大批人员伤亡,抢救急需大量AB型的血液。下表为四名志愿者的血型鉴定结果,其中符合要求的是

            A.①       B.②       C.③       D.④

试题详情

7.(2008盐城)下图为人体某处的血管结构和血流方向示意图。下列有关叙述正确的是

 

A.若b为肺部毛细血管,则a内流静脉血,c内流动脉血

B.若b为肾小球,则a内流动脉血,c内流静脉血

C.若b为组织内的毛细血管,则a内流静脉血,c内流动脉血

D.若b为消化道壁毛细血管,则a内流静脉血,c内流静脉血

试题详情


同步练习册答案