0  125066  125074  125080  125084  125090  125092  125096  125102  125104  125110  125116  125120  125122  125126  125132  125134  125140  125144  125146  125150  125152  125156  125158  125160  125161  125162  125164  125165  125166  125168  125170  125174  125176  125180  125182  125186  125192  125194  125200  125204  125206  125210  125216  125222  125224  125230  125234  125236  125242  125246  125252  125260  447090 

24.(9分)在一次物理兴趣小组的活动中,李老师为同学们提供如下器材:

天平(附砝码)、弹簧测力计(分度值为0.2N,量程为0-5N)、压强计、量筒(250ml、5ml)、溢水杯、烧杯、刻度尺、西线、水、酒精、盐水、小金属块。

根据以上器材可以设计多个实验,小明选择了用天平(附砝码)、250ml的量筒、细线和水,来测一枚质量为10g左右的金戒指密度,检验它是不是黄金的(黄金的密度是19.3×103kg/m3)。下面是小明同学设计的主要实验步骤:

A.用天平称出戒指的质量m;

B.在量筒中倒人适量的水,测出水的体积V1

C.用细线将戒指拴好轻轻放入量筒内水中,测出水和戒指的总体积V2

D.计算戒指的密度,并与黄金的密度进行比较。

(1)小明是根据p=    计算出戒指的密度的。

(2)请你设计一个记录实验数据的表格。

(3)请你从方法、器材、可行性等方面对方案进行适当的评价:       

试题详情

23.(4分)小明利用如下图装置研究“水产生的压强与什么因素有关”,得出的结论是“水的深度h越大,水产生的压强越大;距水底的距离d越小,压强越大。”

①小明在实验中是通过观察_______________________的要化,丛而知道压强大小的变化的;

②限据已有的知识知道,小明的结论有不正确之处。请你仍利用他的装置,做实验证明:“水产生的压强大小跟水距底部的距离d无关。”其主要步骤为:

                                       

试题详情

22.(6分)弹弓能把“纸弹”弹射出去,弹弓弹射的距离究竟与哪些因素有关呢?

(1)你的猜想是__________________________________________[题(3)中猜想除外]

(2)写出能验证你的猜想的实验方案:

(3)[评估交流]张宇航同学猜想“弹弓弹射的距离与纸片质量的大小有关”并进行了如下实验:

①用弹弓斜向上弹出质量较小的纸片,测出弹射距离S1

②用弹弓斜向上弹出质量较大的纸片,测出弹射距离S2

③用弹弓斜向上弹出质量较大的纸片,测出弹射距离S3

④比较S1、S2、S3的大小就能得出弹弓弹射纸片的距离是否与纸片质量大小有关.

请你对该同学的实验方案进行评价:

试题详情

21.(6分)小明和小军同学一起做实验,来测量额定电压为2.5V的小灯泡电功率。

(1)他们已经连好部分电路。请你在下图甲种,把余下部分的电路连接好。

(2)小明同学把电路连接正确后,闭合开关测量了三组不同的电压与电流的数值,其中后两次已填在右表中,第一次实验的电压、电流如图16乙所示,请你把观测到的电压与电流数值填在表格中。小明同学通过表格数据,得知小灯泡的额定功率为_______W。

    次数
物理量
1
2
3
U/V
 
2.5
2.8
I/A
 
0.5
0.54
P/W
0.84
1.25
1.51

(3)小军同学发现小明同学每做一次实验,灯就会更亮一些,他想看看小灯泡最亮会有多亮,他就把滑动变阻器的滑片移向_______(填左、右),结果滑片刚移了一下,小灯泡马上烧坏,灭了。小军同学细想之后提醒自己,以后在使用电器时要注意: _____________。

试题详情

20.(6分)一条油轮在长江中航行时,排开水的体积是300m3,油轮受到的浮力为_____N.在码头卸下了100m3的燃油,卸下燃油的质量为_____kg,油轮排开水的体积变为_____m3,(燃油密度为0.8×103kg/m3,g取10N/kg)

试题详情

19.(4分)如下图器的简易示意图,通过开关S可以使热水器处于加热或保温状态。小明在热水器的蓄水桶中装水至最高水位时,桶底受到水的压强是________________Pa;桶中质量为10kg的水由28℃加热到98℃时吸收热量为________________J。[已知水的比热容为4.2×103J/(kg·℃),取g=10N/Kg]

试题详情

18.(4分)

(1)如图所示两条光线是由同一点光源发出经平面镜反射后形成的,请完成光路图,并确定光源S的位置。

(2)下图中,电路连接正确,通电后小磁针指向如图所示(涂黑端表示N极).请在图中标出螺线管的磁极、电源的“+”、“一”极,并画出螺线管的绕法。

试题详情

17.(4分)请将“研究平面镜成像的特点”的实验步骤补充完整。

(1)在竖直放置的玻璃板前面放一支点燃的蜡烛,可以看到它在玻璃板中所成的像这是由于光的反射所形成的___________ 像(填“虚”或“实”)。

(2)再拿一支没有点燃的同样的蜡烛,竖立着在玻璃板后面移动,直到看上去它跟前面那支点燃蜡烛的像完全___________,一方面可以确定像的位置,同时还说明了物体在平面镜中成的像___________。

(3)用刻度尺测量蜡烛和它的像的位置到平面镜的距离,发现二者距离的大小___________。

试题详情

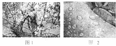
16.(2分)如下图1绽放的时候,距离梅花很远的地方就能闻到花的香味,这种现象说明了_____________。厦天,如图2天晴,荷叶上的水珠随荷叶拂动而滚动不止,当两滴水珠相遇时,会汇合变成一滴较大的水滴,这说明:______________________。

试题详情

15.小明同学在物理实践活动中,设计了如下图所示的反映弹簧所受压力大小的电路,其中R1是5Ω定值电阻,R2是标有“1A、20Ω”滑动变阻器,电源两极间电压恒定为10V,下列说法正确的是

A.滑片受到压力增大时,变阻器阻值减小

B.当压力最大时,电路中的电流为0.4A

C.压力最大时,定值电阻R1两端的电压为0

D.压力表实际是电压表

第Ⅱ卷(非选择题共65分)

试题详情


同步练习册答案